PMTCとは
歯の着色汚れ・黄ばみが気になる方は歯科医院で行うPMTCのクリーニングがオススメです。
PMTCとは、Professional Mechanical Tooth Cleaningの略で普段の歯磨きでは落としきれない汚れ(バイオフィルム)や着色(ステイン)を歯科医院の専用機器を用いて除去するクリーニングのことです。
PMTCのメリットとは?
- 虫歯や歯周病を予防できる虫歯や歯周病の原因となるプラークやバイオフィルムを除去することで、虫歯や歯周病のリスクを減らすことができます。
- 着色汚れを落とせる歯の表面に付いたコーヒーやタバコなどの着色汚れを落とすことができます。
- 歯本来の白さを取り戻せる着色汚れを落とすことで元の歯の色に戻すことができます。
- 歯がツルツルになる歯の表面がツルツルになり、汚れや細菌が付きづらくなります。
- 口臭予防になる口臭の原因となるプラークや細菌を取り除くことで口臭予防にもなります。
PMTCのデメリットとは?
- 保険が適用されない予防や審美性向上のために行うクリーニングで病名がつかないため、保険がきかない自費診療となります。
- 施術に時間がかかる1本1本丁寧に磨いていくため、施術に時間がかかります。汚れが多い場合には30-60分の時間を要します。
- 施術後に痛むことがあるクリーニング後は外部刺激に敏感となり、冷たいものや熱いもので知覚過敏を感じることがあります。一時的な症状で自然に治ることがほとんどです。
- 全ての歯科医院でできるわけではないPMTCを行っている医院は限られます。PMTCを希望する場合は、あらかじめ施術してくれるかどうかを確認しておくと安心です。
費用
| 費用 | 7,700〜11,000円(税込) |
|---|---|
| 時間 | 30〜60分/回 |
※費用・時間はお口の中の状態によって変わります。
患者様にとって最善といえる方法を提案し、ご相談の上決めていきますのでご安心ください。
症例集
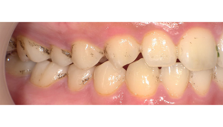
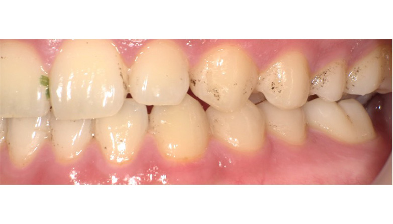
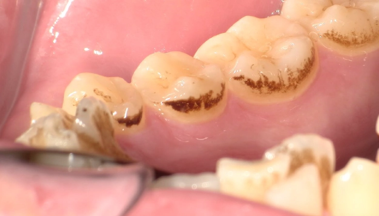
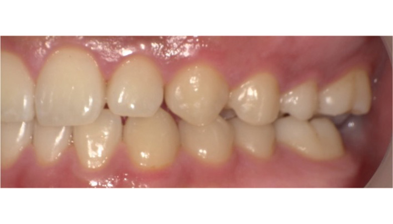
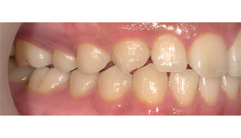
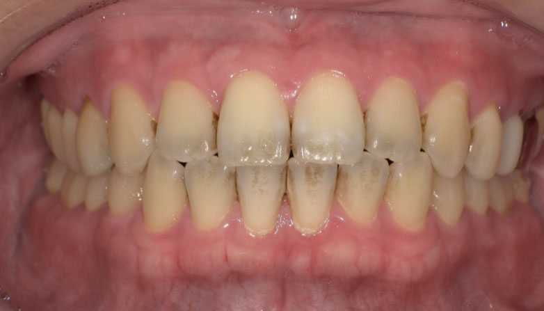
症例1
before
after
| 主 訴 | 着色が気になる |
|---|---|
| 治療期間 | 通院 1回 |
| 治 療 費 | 1回 7,700〜11,000円(税込) |
| 治療内容 | PMTC |
| 治療のリスク | 歯自体の色を白くすることはできない。 歯と歯の間や強い着色などは落とすことが出来ないことがある。 しばらくすると再び着色することがある。 |
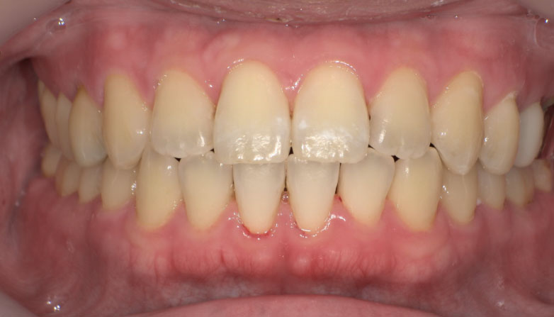
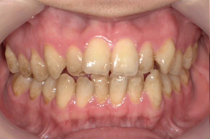
症例2
before
after
| 主 訴 | 着色を落としたい |
|---|---|
| 治療期間 | 通院 1回 |
| 治 療 費 | 1回 7,700〜11,000円(税込) |
| 治療内容 | PMTC |
| 治療のリスク | 歯自体の色を白くすることはできない。 しばらくすると再び着色することがある。 |
症例3
before
after
before
after
| 主 訴 | 着色を落としたい |
|---|---|
| 治療期間 | 通院 1回 |
| 治 療 費 | 1回 7,700〜11,000円(税込) |
| 治療内容 | PMTC |
| 治療のリスク | 歯自体の色を白くすることはできない。 しばらくすると再び着色することがある。 |
症例4
before
after
before
after
| 主 訴 | 着色を落としたい |
|---|---|
| 治療期間 | 通院 1回 |
| 治 療 費 | 1回 11,000円(税込) |
| 治療内容 | PMTC+エアフロー |
| 治療のリスク | 歯自体の色を白くすることはできない。 生活習慣によってはしばらくすると再び着色することがある。 術後、しみることが稀にある。 |
症例5
before
after
| 主 訴 | 着色を落としたい |
|---|---|
| 治療期間 | 通院 1回 |
| 治 療 費 | 1回 11,000円(税込) |
| 治療内容 | PMTC+エアフロー |
| 治療のリスク | 歯自体の色を白くすることはできない。 喫煙、食事等の生活習慣により、再び 着色することがある。 |
症例6
before
after
before
after
| 主 訴 | 着色を落としたい |
|---|---|
| 治療期間 | 通院 1回 |
| 治 療 費 | 1回 11,000円(税込) |
| 治療内容 | PMTC+エアフロー |
| 治療のリスク | 歯自体の色を白くすることはできない。 嗜好品や生活習慣によって再び着色することがある。 施術度に一時的にしみることがある。 |
症例7
before
after
before
after
| 主 訴 | 着色を落としたい |
|---|---|
| 治療期間 | 通院 1回 |
| 治 療 費 | 1回 11,000円(税込) |
| 治療内容 | PMTC+エアフロー |
| 治療のリスク | 施術中や施術後に歯がしみる可能性がある。 暫くすると喫煙、飲食等で着色してくる事がある。 歯の色自体を白くすることはできない。 |
症例8
before
after
before
after
| 主 訴 | 歯の着色をおとしたい |
|---|---|
| 治療期間 | 通院 1回 |
| 治 療 費 | 1回 11,000円(税込) |
| 治療内容 | PMTC+エアフロー |
| 治療のリスク | 歯自体の色を白くすることはできない。 生活習慣によって、しばらくするとまた着色してくる。 施術後一時的にしみることがある。 気管支系の疾患、妊娠中、むし歯や歯周病が重度の方は施術を受けることができない。 |
症例9
before
after
| 主 訴 | 着色を落としたい |
|---|---|
| 治療期間 | 通院 1回 |
| 治 療 費 | 1回 11,000円(税込) |
| 治療内容 | PMTC+エアフロー |
| 治療のリスク | 歯本来の白さを取り戻すことはできるが、歯自体の色を白くすることはできません。 詰め物や被せ物に沈着している着色は落とせない場合があります。 生活習慣によって、経年的にまた着色してくることがあります。 施術後に稀にしみることがあります。 気管支系の疾患、妊娠中、むし歯や歯周病が重度の方は受けられません。 |
症例10
before
after
| 主 訴 | 着色を落としたい |
|---|---|
| 治療期間 | 通院 1回 |
| 治 療 費 | 7,700円(税込) |
| 治療内容 | PMTC |
| 治療のリスク | 歯本来の白さを取り戻すことができるが、歯の色そのものを白くすることはできない。 生活習慣によって、暫くするとまた着色する。施術後稀にしみることがある。 着色の度合いが強い場合にはPMTCのみでは落とせない場合もある。 |
症例11
before
after
| 主 訴 | 着色を落としたい |
|---|---|
| 治療期間 | 通院 1回 |
| 治 療 費 | 7,700円(税込) |
| 治療内容 | PMTC |
| 治療のリスク | 歯自体の色を白くすることはできない。 生活習慣によって再び着色することがある。 詰め物や被せ物をしている箇所の着色は落とすことができない。 |
症例12
before
after
before
after
| 主 訴 | 着色を落としたい |
|---|---|
| 治療期間 | 通院 1回 |
| 治 療 費 | 11,000円(税込) |
| 治療内容 | PMTC+エアフロー |
| 治療のリスク | 知覚過敏や歯肉に炎症がある場合は術中.術後しみることがある。 着色を落とすもののため、歯本来の色を白くすることはできない。 詰め物や被せ物の着色は落とすことができない。 歯本来の色を白くしたい場合はホワイトニングが適用となります。 生活習慣によって、しばらくすると再び着色することがある。 |
PMTCとスケーリングの違い
PMTCとスケーリング、どちらも歯のクリーニングという意味合いでは同じですが、目的に違いがあります。
PMTCは、普段の歯磨きでは落としきれない汚れや着色を除去し、虫歯や歯周病の予防目的のクリーニングです。
スケーリングは、プラークや歯石を除去し、歯周病の治療目的のクリーニングとなります。

PMTCは白くなる?
PMTCで歯の表面に付いた汚れや着色を取ることで、歯本来の白さを取り戻すことができます。
ただし、歯本来の色より白くしたい場合には、ホワイトニングが適用となります。
歯を健康的に白くしたい方は、PMTCで本来の白さを取り戻し、虫歯や歯周病の予防効果を高めた後にホワイトニングをしていくのがオススメです。

PMTCの料金相場とは?
PMTCは保険のきかない自費診療のクリーニングのため、医院によって費用が様々です。
PMTCの料金相場は、8,000円~15,000円程度です。
但し、施術内容や時間も医院によって様々なため、ご不安な方はその辺りも事前に連絡して聞いてみるのが良いと思います。

まとめ
PMTCで得られるメリットはとても大きいです。
将来の虫歯や歯周病のリスクを防ぐのみならず、経験がある方はお分かりだと思いますが、施術後はお口のなかがとてもスッキリして気持ちが良いです。
患者様にもストレスの少ないクリーニングで、施術中もリラックスしながら受けることができ、それでいて歯も綺麗になり予防効果も高いです。
歯の健康を保ちながら、歯も綺麗にしたい方は是非当院までお気軽にお問い合わせください。