目次
- ホワイトニングとは
- このような方にオススメ
- 当院のホワイトニングの特徴
- ホワイトニング 費用
- 歯医者で行う「オフィスホワイトニング」
- 開口器装着型LEDホワイトニングライト「ブリリカビアンコ」
- オフィスホワイトニング メリット・デメリット
- オフィスホワイトニングの流れ
- 自宅で行う「ホームホワイトニング」
- ホームホワイトニング メリット・デメリット
- ホームホワイトニングの流れ
- ホームホワイトニングのジェル濃度について
- 両方を組み合わせた「デュアルホワイトニング」
- デュアルホワイトニング メリット・デメリット
- 歯の神経を失った歯に行う「ウォーキングブリーチ」
- ウォーキングブリーチ メリット・デメリット
- ウォーキングブリーチの流れ
- ホワイトニングができない場合
- ホワイトニングの副作用
- ホワイトニング後の注意点
- ホワイトニングの効果
- ホワイトニング 相場
- ホワイトニング 市販の歯磨き粉
- ホワイトニング 歯医者の方がいい?
- ホワイトニングで後悔しないために
- ホワイトニングの症例
ホワイトニングとは

ホワイトニングとは、毎日の歯磨きでは落としきれない歯の黄ばみを削ることなく、薬剤の力で白くしていく方法です。
ホワイトニングのやり方は大きく4つに分けることができます。
- 歯医者で行う「オフィスホワイトニング」
- 自宅で行う「ホームホワイトニング」
- 両方を組み合わせた
「デュアルホワイトニング」 - 歯の神経を失った歯に行う
「ウォーキングブリーチ」
このような方にオススメ
- 歯を白くしたい
- 笑った時の印象を良くしたい
- 笑顔に自信を持ちたい
- 顔の印象を明るくしたい
- 清潔感を出したい
- 若くみせたい
- 接客業や人前で話す機会が多い
- 結婚式を控えている
当院のホワイトニングの特徴
-
お手頃価格でホワイトニングを
はじめやすいより多くの患者様に手軽にホワイトニングを始めてもらえるよう、1回5,500円(税込)から提供しています。
お手頃な価格で確かな効果を実感できますのでご安心ください。
-
丁寧なカウンセリング
施術前にホワイトニングの種類や注意事項についてしっかりと説明を行います。

-
コースがないため、
お好きな
ペースでホワイトニングができるコース期間内に通わないといけない、回数券が使いきれないなどの心配は不要です。
ご自身のお好きなタイミングでホワイトニングができます。
ホワイトニング 費用
| オフィスホワイトニング | 1回 5,500円(税込) 1日3回までが限度 |
|---|---|
| ホームホワイトニング (マウスピース・ジェル2本付) |
22,000円(税込) |
| 追加ジェル | 2,750円(税込)/1本 |
| ウォーキングブリーチ | 1回 5,500円(税込) |
歯医者で行う
「オフィスホワイトニング」
オフィスホワイトニングは歯医者で行うホワイトニングのことです。
ホワイトニング剤を歯面に塗って、LEDライトで照射し歯を短時間で白くします。
効果をすぐに実感できるため、早く歯を白くしたい方やご自身で自宅で行うのは不安や面倒な方にはオススメです。

開口器装着型LEDホワイトニング
ライト「ブリリカビアンコ」
ブリリカビアンコは、開口器に照射器を直接取り付けることができる新しいホワイトニングのスタイルです。
特徴としては、患者様が施術中に動いても照射位置が一定なので色のムラが出にくいです。
また、軽量でコードレスなため、施術中の患者様のストレスも軽減されます。

オフィスホワイトニング
メリット・デメリット
メリット
・濃度の高いホワイトニング剤を使用するため、効果が早い来院したその日にできる
・短期間で歯を白くできる
・1回あたりの照射が10分程度と短時間で済む
・自分で行う必要がない
デメリット
・即効性がある反面、白さの後戻りが早い
・部分的なホワイトニングしかできない
・奥歯には不向き
・歯がしみやすい

オフィスホワイトニングの流れ
-
カウンセリング・口腔内写真
ホワイトニングの説明や注意事項をお伝えします。
施術前後の比較をするため、お口の中の写真を撮ります。 -
歯のクリーニング
歯の表面についた汚れや着色はホワイトニングではとれません。
着色が強い方は先にPMTCを行ったほうが良いでしょう。
また、歯の汚れは薬剤の浸透を妨げるため、綺麗にする必要があります。 -
薬剤を塗る前に
唇や歯ぐきを保護 - 薬剤を塗布して光を照射
- ホワイトニング剤を除去
-
ご希望の白さになるまで④と⑤の
工程を繰り返す(1日3回照射が限度) - 歯の色を確認・施術後の写真撮影
自宅で行う
「ホームホワイトニング」
ホームホワイトニングは、自宅で行うホワイトニングのことです。
歯医者さんで専用のトレーを作成し、ご自宅でホワイトニングジェルを入れて使用することで、ゆっくりと内部から歯を白くすることができます。
ご自宅で好きな時に手軽に行いたい方にはオススメです。

ホームホワイトニング
メリット・デメリット
メリット
・ご自宅で好きな時にできる
・色の後戻りがしづらい
・効果が長持ちする
・奥歯まで白くできる
・低濃度の薬剤のため、歯がしみにくい
デメリット
・ご自身で行う必要がある
・効果が出るまで時間がかかる

ホームホワイトニングの流れ
-
カウンセリング・口腔内写真
ホワイトニングの説明やご自宅で行う際の注意点についてお伝えします。
施術前後の比較をするため、お口の中の写真を撮ります。 -
歯のクリーニング
歯の表面についた汚れや着色はホワイトニングではとれません。
着色が強い方は先にPMTCを行ったほうが良いでしょう。
また、歯の汚れは薬剤の浸透を妨げるため、綺麗にする必要があります。 - トレー作成の型取り 歯型を取り、専用のマウストレーを作製します。
- トレー・ホワイトニングジェルのお渡し 使用方法や注意点を改めてご説明します。
-
ご自宅でホワイトニング
各歯に米粒1つ分ほどのジェルを入れ、1日2時間程度装着します。
使用後は歯とトレーについたジェルを歯ブラシで水洗いしてください。
お湯で洗うと変形の原因となるためご注意ください。 - 歯の色を確認・施術後の写真撮影 効果を確認し、必要に応じてジェルの追加を行います。
ホームホワイトニングの
ジェル濃度について
- ホームホワイトニングジェルには、低濃度のものと高濃度のものがあります。
- 低濃度のジェルは、知覚過敏の心配がある方や初めての方やゆっくり歯を白くしたい方に適しています。
- 高濃度のジェルは早く歯を白くしたい方には適していますが、その分、知覚過敏が生じやすくなる可能性があります。
装着時間に関しても、30分〜1時間と短く設定するようにしています。 - 当院では、ご自身のお口の状態や希望する効果や知覚過敏の耐性などを考慮し、歯科医師、歯科衛生士と相談の上、ジェル濃度を決定するようにしております。
両方を組み合わせた
「デュアルホワイトニング」
デュアルホワイトニングとは、オフィスホワイトニングとホームホワイトニングの両方を組み合わせたものです。
まず、オフィスで短期間で白くし、ホームによって効果を持続させます。
双方のいいところを組み合わせた最速で最白のやり方となります。

デュアルホワイトニング
メリット・デメリット
メリット
・短期間で白くできる
・効果が出るのが早い
・後戻りがしにくく、持続性がある
デメリット
・費用が高くなる
・歯医者でもご自宅でも行うため、手間がかかる
・歯がしみやすい

歯の神経を失った歯に行う
「ウォーキングブリーチ」
ウォーキングブリーチとは、外傷や虫歯によって歯の神経を失った歯(失活歯)に対して行うホワイトニングのことです。
神経を失った歯は変色して黒くなることがあります。
その場合、通常のホワイトニングでは効果がありません。
ウォーキングブリーチは歯の内部に漂白剤を入れて歯の内側から白くしていく方法となります。

ウォーキングブリーチ
メリット・デメリット
メリット
・歯を削る量が少なくて済む
・被せ物にするよりも安価で済む
デメリット
・後戻りをする
・周りの歯と同じくらい白くするのは難しく、
白さの限界がある
・通院が何回か必要
・漂白剤の作用で内圧が高まり痛むことがある

ウォーキングブリーチの流れ
- 歯の状態を診る虫歯や歯周病や歯の根の状態を確認します。必要に応じて先に治療を行います。
- 歯の内部に漂白剤を入れる根の治療の際に入れた薬を取り除き、漂白剤を入れます。
- 約1~2週間ごとに内部の
漂白剤を交換通常は2〜3回程度、期間にして1ヶ月程度が目安です。
*個人差があります。 - 詰め物で蓋をする十分に歯が白くなったら、内部の漂白剤を取り、プラスチックの材料で封鎖して完了です。
ホワイトニングができない場合
- 無カタラーゼ症
- 妊娠中・授乳中の方
- 知覚過敏が強い方
- 虫歯や歯周病が進行している方
- つめ物やかぶせ物をしている歯
- 薬剤にアレルギーのある方
- エナメル質、象牙質形成不全歯
- テトラサイクリン変色歯
- 光過敏症の方
- 18歳未満の方
「ホワイトニングができない人・効果がない歯とは?」を詳しく見る
ホワイトニングの副作用
ホワイトニングの副作用として、使用する薬剤の刺激により、知覚過敏を生じることがあります。
知覚過敏の痛みが出ている間は、熱いものや冷たいものはできるだけ控えましょう。
知覚過敏は通常、数時間でおさまることが多いですが、1日経っても痛みが強い場合は、一度当院までご連絡ください。
ホワイトニング後の注意点
ホワイトニング直後は、一時的に刺激を拾いやすい状態のため、レモンなどの酸性度の高い食べ物はエナメル質を溶かすリスクがあるため注意が必要です。
また、ホワイトニング後24時間は色がつきやすいため、コーヒー、赤ワイン、カレーなど色の濃い飲食物や喫煙を避けるようにしてください。
ホワイトニングの効果
ホワイトニングの効果は永久的ではありません。
では、どのくらい効果が持続するのでしょうか。
一般的には、オフィスホワイトニングは、約3〜6ヶ月、ホームホワイトニングは約6-12ヶ月と言われています。
ただし、口腔ケアや生活習慣や嗜好品の摂取頻度(コーヒーや喫煙など)で効果の持続期間は変わってきます。
白い歯を長持ちさせるためには、定期的な歯科医院への受診、着色しやすいものを避ける、タッチアップホワイトニング(効果が薄れ始めた頃に追加のホワイトニング)を行うことが効果的です。
後戻りが気になる方はお気軽に当院までご相談ください。

ホワイトニング 相場
ホワイトニングは自費診療のため、医院によって料金が違います。
| オフィスホワイトニング | 10,000円〜70,000円程度 |
|---|---|
| ホームホワイトニング | 20,000円〜40,000円程度 |
ホワイトニングの材料や施術回数やメニューやコースによっても料金は変わってきます。
また、コースや回数券の場合ですと、ほとんどの場合期限があるので注意が必要です。
表記の仕方が医院によって違うため、詳細を確認してから歯科医院を選ぶことをオススメします。
ホワイトニング 市販の歯磨き粉
市販のホワイトニングと表記された歯磨き粉の多くには、研磨剤という成分が含まれています。
研磨剤により、歯の表面の汚れなどは取れますが、歯を内部から白くすることはできません。
歯を白くするための漂白成分(過酸化水素・過酸化尿素)が日本の歯磨き粉の中には入っていないため、歯磨き粉でホワイトニングと同等の効果を得ることは難しいです。
ホワイトニング 歯医者の方がいい?
患者さんからセルフホワイトニングサロンと歯医者さんのホワイトニングは、何が違うの?と良く質問を受けます。
その違いについて説明していきます。
- 施術者の違い有資格者の歯科医師・歯科衛生士が行う。もしくはご自身で行うか。
- 効果の違いサロンや自宅で行うセルフホワイトニングは、歯の表面の着色やくすみには効果があります。しかし、歯そのものを白くはできないです。
これは漂白する成分(過酸化水素)が医療機関でしか扱えないからです。サロンでご自身の歯を白くするには限界があるので、求める白さがどの程度なのかによって選ばれるといいと思います。
ホワイトニングで後悔しないために
ホワイトニングで後悔しないためにも、デメリットや注意事項を施術前にしっかりと理解することが大事です。
- 効果は永久的ではない
時間とともに後戻りします。 - 歯がしみることがある
薬剤の刺激により知覚過敏を生じることがあります。 - ホワイトニング後の制限
色の濃い、酸性度の高い飲食物、喫煙は控えましょう。 - 費用
保険が効かない自費診療となります。
ホワイトニングで後悔しないためにも、事前にこうした説明やカウンセリングのしっかりした歯科医院を選ぶのがオススメです。
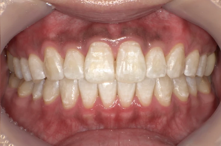
ホワイトニングの症例
case1
治療前の写真

治療後の写真

| 主訴 | 歯を白くしたい |
|---|---|
| 治療期間 | 1日 |
| 治療費 | 1照射 5,500円(税込)×2回 合計 11,000円(税込) |
| 治療内容 | オフィスホワイトニング 2照射 |
| 治療のリスク | ホワイトニング後一時的にしみることがある。 生活習慣によって色の後戻りがある。 |
case2
治療前の写真

治療後の写真

| 主訴 | 歯を白くしたい |
|---|---|
| 治療期間 | 通院2回 |
| 治療費 | 1照射 5,500円(税込)×5回 合計 27,500円(税込) |
| 治療内容 | オフィスホワイトニング 計5照射 |
| 治療のリスク | ホワイトニング後一時的にしみることがある。 生活習慣によって色の後戻りがある。 |
case3
治療前の写真

治療後の写真

| 主訴 | 歯を白くしたい |
|---|---|
| 治療期間 | 1日 |
| 治療費 | 1照射 5,500円(税込)×2回 合計 11,000円(税込) |
| 治療内容 | オフィスホワイトニング2照射 |
| 治療のリスク | 薬剤の刺激により知覚過敏を生じることがあります。 ホワイトニング後24時間は色がつきやすいため、コーヒー、赤ワイン、カレーなど色の濃い飲食物や喫煙を避けるようにしてください。 |
case4
治療前の写真

治療後の写真

| 主訴 | 歯を白くしたい |
|---|---|
| 治療期間 | 通院2回 |
| 治療費 | 1照射 5,500円(税込)×5回 合計 27,500円(税込) |
| 治療内容 | オフィスホワイトニング |
| 治療のリスク | ホワイトニング後、歯がしみることがあります。 時間と共に色が後戻りすることがあります。 被せ物や詰め物をしている箇所はホワイトニングで白くすることができません。 妊娠中、未成年の方、無カタラーゼ症、光過敏症の方はホワイトニングができません。 |
case5
治療前の写真

治療後の写真

| 主訴 | 歯を白くしたい |
|---|---|
| 治療期間 | 約6か月 |
| 治療費 | ホームホワイトニング 22,000円(税込) 追加薬剤 2,750円(税込)×7本 合計 41,250円(税込) |
| 治療内容 | ホームホワイトニング用トレーの型取りを行い、後日トレーと薬剤お渡しを行いました。 追加で薬剤購入に何度かご来院され、お渡しから6か月経過時点での変化を写真にて記録しました。 |
| 治療のリスク | ホワイトニング後一時的に知覚過敏症状を引き起こす可能性があります。 生活習慣により色の後戻りがあります。 被せ物や詰め物をしている箇所はホワイトニングでは白くすることができません。 妊娠中、未成年の方は行うことができません。 |
case6
治療前の写真

治療後の写真

| 主訴 | 左上の1番の歯の色味が気になる |
|---|---|
| 治療期間 | 約1か月 |
| 治療費 | 1回¥5,500×3回 (約1~2週間で薬剤交換) |
| 治療内容 | ウォーキングブリーチという治療です。 神経がない歯の内部に薬剤を入れ内側から白くしていく方法です。 色味を確認しながら薬剤を交換し色味が納得できたタイミングで穴を封鎖します。 |
| 治療のリスク | 白さが後戻りすることがあります。色味の変化に個人差があります。 歯質が脆い場合や残っている歯の量が少ない場合には、ウォーキングブリーチは適応となりません。その場合は、歯を保護し形態を修復することができるクラウンが適応となります。 妊娠中や未成年の方、無カタラーゼ症の方・根の病変がある場合は、ウォーキングブリーチは行うことができません。 |
case7
治療前の写真

治療後の写真

| 主訴 | 歯を白くしたい |
|---|---|
| 治療期間 | 通院2回 |
| 治療費 | ¥5,500(税込)×4回 計 ¥22,000(税込) |
| 治療内容 | オフィスホワイトニング4回 |
| 治療のリスク | 治療後数日はしみることがあります。 時間の経過と生活習慣などにより色の後戻りがあります。 被せ物や詰め物をしている箇所はホワイトニングでは白くできません。 妊娠中、未成年の方、無カタラーゼ症、光過敏症の方はホワイトニングの適応外となります。 |
case8
治療前の写真

治療後の写真

| 主訴 | 歯を白くしたい |
|---|---|
| 治療期間 | 1日 |
| 治療費 | PMTC ¥7,700(税込) オフィスホワイトニング3回 ¥5,500(税込)×3回 計 ¥24,200(税込) |
| 治療内容 | PMTCで表面の着色汚れを落とした後に、オフィスホワイトニングを色味確認しながら3回行いました。今後は色の経過をみて希望に応じてオフィスホワイトニングを行う予定です。 |
| 治療のリスク | ホワイトニング後一時的にしみることがあります。 生活習慣によって色の後戻りがあります。 詰め物や被せ物をしている箇所は白くすることができません。 |
case9
治療前の写真

治療後の写真

| 主訴 | 歯を白くしたい |
|---|---|
| 治療期間 | 1日 |
| 治療費 | 1照射5,500円(税込)×3回 合計 16,500円(税込) |
| 治療内容 | オフィスホワイトニング3照射 |
| 治療のリスク | ホワイトニング後一時的にしみやすくなる事があります。 ホワイトニング後24時間は色の濃い飲食は控えていただきます。 生活習慣や時間とともに後戻りすることがあります。 詰め物や被せ物はホワイトニングでは白くすることができません。 妊娠中やホワイトニングの薬剤のアレルギーのある方はホワイトニングをすることができません。 |