目次
歯周病とは

歯周病とは、細菌によって歯の周りにある組織(歯ぐきや歯を支える骨)がダメージを受ける病気です。
歯周病は日本の成人の約8割がかかっているといわれる生活習慣病で、歯を失う原因の第一位を占めています。
また、歯周病菌は普段からお口の中にいる常在菌と言われ、菌が常に生息していることから歯周病は完治しない病気ともいわれています。但し、菌が悪さをしないようにコントロールできていれば全く問題はありません。
いかにお口の中の環境を良い状態に保っておくかが歯周病治療においては重要になります。
「歯周病は治るの?」を詳しく見る
歯周病のセルフチェック
- 歯ぐきから血が出る
- 歯ぐきがむず痒い
- 歯ぐきが腫れている
- グラグラ揺れる歯がある
- 口臭がする
- 歯石が付いている
- 歯が伸びたように感じる
一つでも当てはまる方は、一度歯科医院で検査してみることをおすすめします。
「歯ぐきから血が出る」を詳しく見る
歯周病の原因
直接的原因
歯周病の直接的な原因は歯垢(プラーク)と呼ばれる細菌の塊です。
このプラークの出す毒素によって、歯ぐきに炎症が起こり歯周病となります。さらに、プラークがずっと溜まったままだと、歯石という硬い汚れに変わります。
歯石は、普段の歯磨きでは取り除けないほど硬く、歯周病を悪化させる要因となります。
間接的原因
歯周病の直接的な原因はプラークですが、歯周病を悪化させる間接的原因として、喫煙やストレスや食習慣などが挙げられます。また、歯周病は糖尿病などの全身的な身体の病気とも深く関連があると言われています。
お口の問題のみならず全身の健康にも影響を及ぼす怖い病気なんです。
歯周病と口臭について
歯周病菌が発生するメチルメルカプタンが口臭の原因になると言われています。
野菜が腐った時と近い臭いになります。プラークや歯石を除去し、歯周病菌を減らすことができれば口臭も改善されます。
歯周病と全身疾患
歯周病の原因である歯周病菌がお口の中から気道や血管を介して、全身を駆けめぐることで様々な全身疾患を引き起こすことが近年知られています。
- 糖尿病糖尿病は、歯周病と最も関わりが深いとされています。
歯周病菌が産み出す毒素が、血糖をコントロールするインスリンの機能を低下させ、糖尿病を悪化させます。
また、糖尿病と歯周病は相互関係にあることが明らかになっています。どちらかが悪化するともう片方も同じく影響を受けます。 - 心筋梗塞・脳梗塞歯周病菌が血管内に入りこむと、血液の流れに支障をきたします。
心筋梗塞や脳梗塞といった血管を詰まらせる病気のリスクを高めます。 - 誤嚥性肺炎飲み込む機能が低下すると、食べ物や唾液が食道ではなく気管に入ってしまうことがあります。
口腔内の細菌が肺に入ると誤嚥性肺炎を発症するリスクが高くなります。 - 早産および低体重児出産妊娠中はホルモンバランスの影響により歯周病が悪化しやすいです。また、歯周病菌が子宮を収縮し陣痛を促進する作用を引き起こすことがあります。
そうすると、早産や低体重児出産のリスクが高くなります。
歯周病の症状
健康な歯ぐきの状態
特徴
・歯ぐきが引き締まっていて、弾力がある。
・色はピンク色をしています。
・歯磨きの際にも出血は認められない。

初期:歯周炎(歯肉炎)
症状
・歯ぐきが腫れてきて、色が暗赤色となる
・歯磨きの際に出血がある
初期の段階では、歯ぐきのみの炎症であり、歯肉炎とも呼ばれます。
適切なプラークコントロールを行えば、すぐに健康な状態を取り戻すことができます。

中等度:歯周炎
症状
・歯周ポケットと呼ばれる歯と歯ぐきの溝が深くなる
・歯ぐきから出血や膿が出る
・歯を支えている骨が徐々に溶け出す
・口臭も強くなる
・歯に多少の揺れを感じる

重度:歯周炎
症状
・歯周ポケットがさらに深くなり、歯がグラグラ揺れてくる
・口臭も激しく、通常の食事を取るのも困難になる
・進行度合いによっては、歯を残せないことも多い

歯周病と歯槽膿漏の違い
歯周病と歯槽膿漏(しそうのうろ)は何が違うんですか?という質問を受けることがあります。
結論から言うと病気としては同じもので、歯槽膿漏は歯周病が進行し、文字通り歯ぐきから膿が漏れている状態のことを指します。
歯周病の進行状況としては中等度〜重度の段階にありますので早期に治療や予防が必要になってきます。

歯周病の治療
歯周病の治療は「歯周基本治療」と「歯周外科治療」の2つに分けられます。
1.歯周基本治療
歯周病の原因となるプラークや歯石を除去し、日々のセルフケアを改善することが「歯周基本治療」の主な内容です。
-
歯磨き指導
歯周病の原因はプラークと呼ばれる細菌の塊です。
いくら歯医者さんで治療を行っても、日々のセルフケアができていないと、すぐにプラークがたまり歯周病は良くなりません。歯周病を再発させないためにも、まずは正しい歯磨きの仕方をま身につけることが大事です。
歯磨きに始まり、歯磨きに終わるのが歯周病治療です。
-
スケーリング
主に歯ぐきの上に付いている歯石や汚れを取るクリーニングのことをいいます。
超音波スケーラーという器具を用い、超音波の力で振動させ歯石とりをします。
治療回数は1~2回で済むことがほとんどです。
-
SRP(スケーリング・
ルートプレーニング)スケーリング後の検査で、更なる治療が必要と判断した場合に行います。
スケーリングでは取りきれない歯ぐきの下の歯石や汚れを取るクリーニングのことをいいます。痛みを感じる場合には麻酔をして行います。1度の処置で4~6本程度が限度のため、治療を行う本数に応じて回数も変わってきます。

2.歯周外科治療
歯周病が進行し、基本治療を繰り返し行っても症状が改善されない場合には「歯周外科治療」を行う必要があります。
歯周外科治療は「フラップ手術」と「歯周組織再生療法」の2つに大別されます。
どちらの治療法が適しているのかは、歯を支えている骨の状態や歯周ポケットの深さ、レントゲン検査などから判断します。
-
フラップ手術(歯肉剥離掻爬術)
フラップ手術とは、深い歯周ポケットに溜まった歯石や汚れを取り除くために、歯ぐきの一部を切開し、病巣がよく見える状態で行う手術法のことをいいます。

-
歯周組織再生療法
歯周組織再生療法とは、歯周病によって失われた骨などの歯周組織を再生させる治療法です。
日本では厚生労働省の認可を受けた再生材料として、エムドゲインとリグロスがあります。
-
歯周組織再生療法(リグロス法)
リグロスは細胞を増やす成長因子を主成分とし、この作用により歯周病で失われた歯周組織の再生を促します。
リグロスは保険適応の範囲内で使用が可能な材料となります。
-
歯周組織再生療法
(エムドゲイン法)エムドゲインとは、エナメルマトリックスというタンパク質の一種です。これにより、歯が生えてくるときと同じ環境を作り出し、歯周組織の再生を誘導します。エムドゲインを使用する場合は自費治療となります。
世界中で数多く使用されてきた材料で効果が実証されています。
歯周病の治療費用・期間
軽度歯周病の場合
| 頻度 | 1〜3回の治療で済みます。 |
|---|---|
| 費用 | 約5,000円程度(保険適応) |
中度歯周病の場合
| 頻度 | 月に1-2回程度の通院で約3ヶ月ほどかかります。 |
|---|---|
| 費用 | 約10,000円〜(保険適応) |
重度歯周病の場合
| 頻度 | 月に2-3回程度の通院で半年以上かかることもあります。 |
|---|---|
| 費用 | 約10,000円〜(保険適応) |
歯周外科手術の費用(1歯あたり)
フラップ手術
| 費用 | 約2,500円(保険適応) |
|---|
歯周組織再生療法(リグロス法)
| 費用 | 約7,000円〜9,000円(保険適応) |
|---|
歯周組織再生療法(エムドゲイン法)
| 費用 | 77,000円〜110,000円(自費診療) |
|---|
※骨の欠損範囲によって
金額の差異があります
当院の歯周病治療の流れ
- 問診現在のお口の中の症状やお悩みをお聞きします。
その際、普段の歯磨き習慣などもお聞きすることがあります。 - 検査歯と歯ぐきの間の歯周ポケットと呼ばれる隙間を計測し、歯周病の状態を検査します。
必要に応じて、レントゲン写真や口腔内の写真も撮影します。 - 歯周基本治療軽度な歯周病であれば、正しい歯磨きの指導や歯石とり等の歯周基本治療を行えば、健康な状態になります。
- 再検査再検査を行い、歯周基本治療の効果を評価します。
治癒に向かっている場合は定期検診へ移行します。変わらず炎症が残っている場合は、もう一度歯周基本治療を行うか、歯周外科治療に進むかの判断になります。 - 歯周外科治療重症化した歯周病は、歯周基本治療だけでは改善しないことが多いです。
その場合は、外科的に歯周ポケットを減少させる手術を行います。ケースによっては、歯を残せないこともあります。 - 定期検診日々の歯磨きやメンテナンスを怠ると歯周病は再発します。
歯科医院に定期的にお越しいただき、メンテナンスを行いましょう。
歯周病の検査
歯周ポケット検査
(プロービング検査)
歯と歯ぐきの間の歯周ポケットと呼ばれる隙間を測る検査です。歯周病は進行するとポケットが深くなります。
歯ぐきからの出血の有無や歯の動揺度も検査します。また、磨き残しが多い箇所がないかどうかのチェックもこの時に行います。

歯周ポケットの深さの目安
・0~3mm 正常〜軽度歯周炎
・4~6mm 中等度歯周炎
・7mm以上 重度歯周炎
歯の動揺度の目安
・0度:生理的動揺
・1度:軽度の動揺、前後に動く
・2度:中等度の動揺、前後左右に動く
・3度:重度の動揺、前後左右上下にグラグラ動く
歯周病の予防について
歯周病を繰り返さないために
歯周病の予防には、毎日の正しい歯磨き、定期的な歯科検診やクリーニングが効果的です。
歯周病を繰り返さないためにも、セルフケアとプロケアの両方が大事になってきます。
また、喫煙やストレス、不規則な食生活なども歯周病の原因になり、生活習慣の改善も予防へとつながります。
歯周病は、自分では気づかないうちに徐々に進行する怖い病気です。
予防歯科でご自身の歯と歯ぐきを生涯にわたって守りましょう。
歯周基本治療の症例
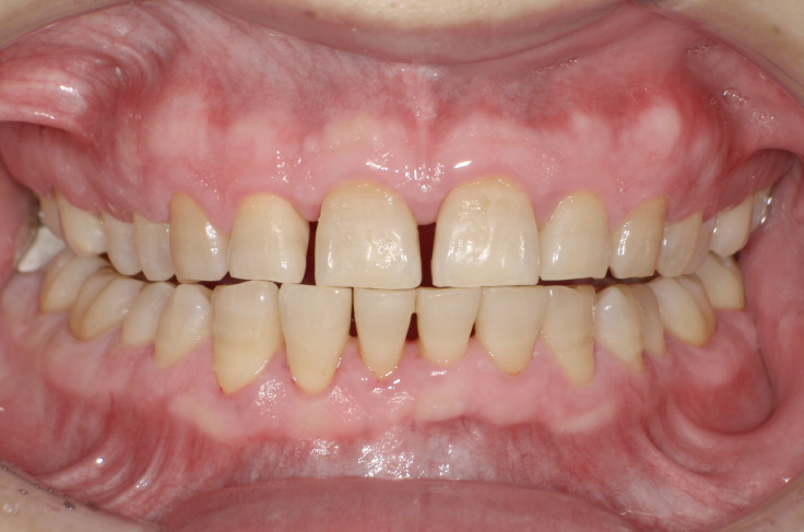
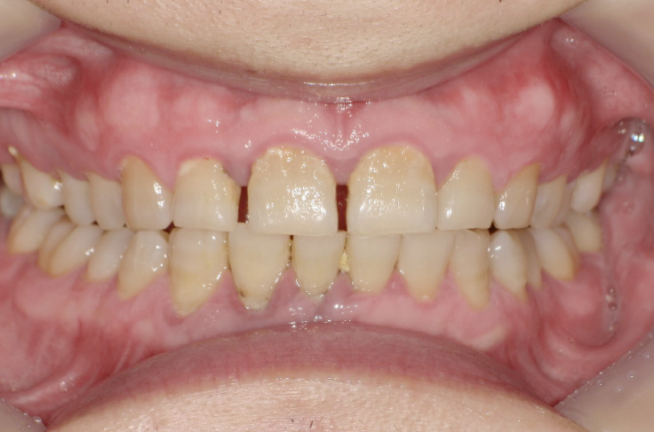
case1
治療前の写真

治療後の写真

| 主訴 | クリーニングしたい |
|---|---|
| 治療期間 | 通院6回 (約2カ月) |
| 治療費 | 約10,000円(税込)保険診療3割負担 |
| 治療内容 | 歯周基本治療 (歯周検査、歯肉縁上・縁下の歯石除去) |
| 治療のリスク | 治療したことによって歯ぐきが下がったように感じることがある。 (歯ぐきが引きしっまたことによる見た目の変化) 治療後一時的にしみることがある。 |
case2
治療前の写真

治療後の写真

| 主訴 | 歯周病治療したい |
|---|---|
| 治療期間 | 通院約10回 |
| 治療費 | 約15,000円(税込)保険診療3割負担 |
| 治療内容 | 歯周基本治療 歯磨き指導と歯石除去を行いました。歯ぐきの腫れや出血などの炎症が改善されたので今後は定期検診で症状安定をはかります。 |
| 治療のリスク | 一時的にしみることがあります。 歯ぐきが下がったように感じることがあります。 |
case3
治療前の写真
治療後の写真

| 主訴 | 歯周病治療したい |
|---|---|
| 治療期間 | 通院約6回(約3か月) |
| 治療費 | 約15,000円(税込)保険診療3割負担 |
| 治療内容 | 歯周基本治療 歯周病検査と歯石の除去を行う歯周基本治療を行いました。 歯石が取れたことにより歯ぐきの炎症がかなり改善しました。 |
| 治療のリスク | 歯石除去後、一時的に知覚過敏症状が出ることがあります。 歯石を取ると歯ぐきが引き締まり歯ぐきが下がったように感じることがあります。 |
case4
治療前の写真

治療後の写真

| 主訴 | 歯石を取りたい、 歯周病の治療をしたい |
|---|---|
| 治療期間 | 通院8回(約3か月) |
| 治療費 | 約15,000円(税込)保険診療3割負担 |
| 治療内容 | 歯周基本治療 歯周病検査と歯石除去(歯肉縁上、縁下)を行う歯周基本治療を行いました。 |
| 治療のリスク | 歯石除去後、知覚過敏症状がでることがあります。 歯茎が引き締まることで歯茎が下がったように感じることがあります。 |