目次
予防歯科とは
予防歯科とは、虫歯や歯周病など問題が起きてから治療するのではなく、なる前の予防を大切にすることです。
ご自宅でのセルフケアと、歯科医院でのプロフェッショナルケアの両方で予防を行っていきます。
予防歯科って何をするの?
自宅で行う予防歯科と歯科医院で行う予防歯科があります。
ご自宅でのセルフケアにより、歯垢を取り除くことで虫歯や歯周病は予防されます。但し、毎日歯磨きをしていても、正しくできていないと意味がありません。自分にあった正しい歯磨きの仕方を歯科医院で指導してもらうのが効果的です。
歯科医院で行う予防歯科の取り組みとして定期検診の受診があります。
虫歯や歯周病などの状態をチェックしたり、普段のセルフケアでは落としきれない汚れを専用の器具を使って取り除き、口内環境を整えます。また、食習慣や生活習慣の改善も予防歯科の取り組みの一端となります。
予防歯科とクリーニングの違いについて
歯のクリーニングは予防歯科で行う処置の一つとなります。
虫歯や歯周病を予防するという点では同じですが、予防歯科はクリーニングを含め、お口のなかの健康をサポートするという目的があります。
例を挙げると歯ブラシの指導や食習慣の指導などがあります。
クリーニングを含めた包括的な取り組みを行うのが予防歯科と言えます。
予防歯科のメリットとは?
-
虫歯や歯周病を防ぐ
虫歯や歯周病の原因となる歯垢や歯石を取り除くことで、虫歯や歯周病を未然に防ぐことができます。
-
早期発見・早期治療ができる
歯と歯ぐきの間の溝(歯周ポケット)を測る検査をします。
歯周病の進行度や炎症の有無を確認します。
磨き残しが多い箇所のチェックも同時に行います。
-
正しいセルフケアを学べる
普段のセルフケアのやり方やご自身のお口の中でどこに磨き残しが多いかをチェックしてもらい、正しい磨き方を学ぶことができます。
-
健康な歯を長く維持することができる
予防歯科のために定期検診を受けている人とそうでない人とでは、将来的に残る歯の本数が変わってくると言われています。
いつまでも健康な歯を保つことができれば、生涯にわたり自分の歯で食事を楽しむことができます。
-
健康寿命が伸びる
健康な歯が多く残っていると美味しく食事ができるため、健康寿命や生活の質が高まると言われています。
予防歯科にデメリットは
ありません。
なるべく早めに受診しましょう。
予防歯科に取り組む上で起こるデメリットはないと考えます。
強いて挙げるならば、定期的に歯科医院での受診が必要となるため、それに費やす時間や費用が発生するということです。
但し、未然に病気を防ぐことで結果的に治療でかかる時間や費用を抑えることができ、ご自身の歯を守ることにも繋がります。
子供は予防歯科を早めに始めた方がいい?
予防歯科は子供のうちから始めた方が良いです。
理由としては、乳歯は永久歯の基盤を作るため、乳歯のうちから虫歯予防に取り組む必要があるためです。
歯科医院で行う主な予防処置としては、フッ素の塗布やシーラントなどが挙げられます。
また、食習慣や間食の見直しにより、お子様の歯を虫歯から守る上で重要な要素となります。

予防歯科の費用の
相場とは?
予防歯科の費用
(保険適用)の場合
保険が適用される予防歯科の費用は3割負担の場合で約4000円程度となります。
虫歯や歯周病予防などの目的で行われるクリーニングやフッ素塗布といった予防処置は、保険適用となります。
予防歯科の費用
(自費診療)の場合
保険が適用されない自費診療の予防歯科もあります。
費用はクリニックによって様々で相場としては5,000〜20,000円程度が多いようです。
審美目的でのクリーニングなどは自費診療に該当します。
保険のルールに縛られることなく、期間や頻度や使う材料に関しても自由度が高いのも自費診療の特徴と言えます。
予防歯科に通う頻度は
どれくらい?
予防歯科は、一般的に3ヶ月に一度くらいの頻度で通うと良いとされています。
理由としては、お口の中の細菌の数は3ヶ月程度で元に戻ると言われているためです。
但し、お口の中の状況が良くない方は1ヶ月に一度、健康な状態が維持できている方は半年に一度など、お口の状況に合わせて来ていただくこともあります。

予防歯科についてのまとめ
歯医者は痛くなってから行くところと考えられている方がまだまだ多くいるのが現状です。
ただ、実際に治療が必要になる患者様からは「もっと早く歯医者に行っとけば良かったー」と後悔する声がほとんどです。
予防歯科に取り組むことで、将来の後悔を減らすことができます。
ご自身の歯を将来にわたって大切に守るためにも、ぜひ予防歯科の考えにシフトチェンジしてみませんか。
気になる方はお気軽に当院までお申し付けください。
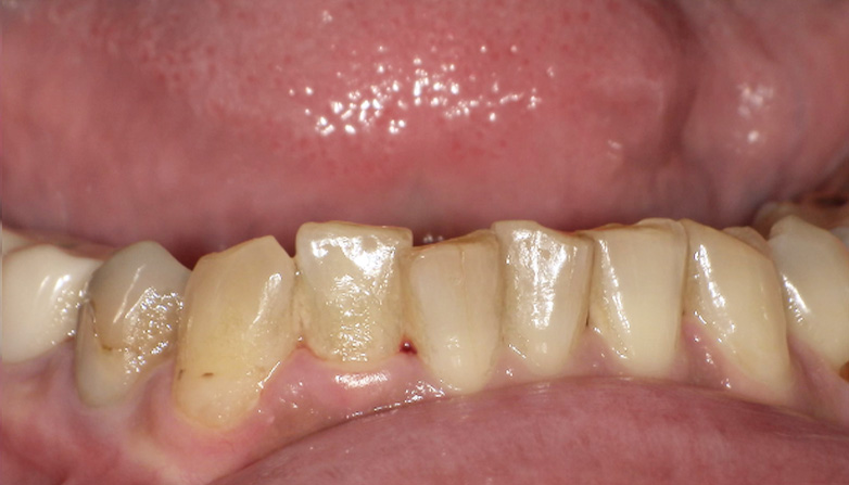
定期検診の症例
case1
治療前の写真
治療後の写真
| 主訴 | 定期検診をしたい |
|---|---|
| 治療回数 | 1日 |
| 治療費 | 約4,000円(税込) 保険診療3割負担 |
| 治療内容 | 約3ヶ月に一度の頻度で、むし歯や歯周病の状態の確認やセルフケアのチェックを行います。 また、普段の歯ブラシで落としきれないプラーク、歯石、着色汚れを落とすクリーニングを行います。定期的にお口の中をチェックし、落としきれない汚れを取り除くことで、虫歯や歯周病の予防につながります。 病気になってからの治療ではなく、病気にならないようにする予防が歯を長期的に守るために大切です。 |
| 治療のリスク | 効果的な予防の為には約3か月毎の定期的な受診をおすすめします。 |