目次
歯のクリーニングとは
歯のクリーニングとは、普段の歯磨きでは落としきれないプラークや歯石や着色などを除去することを言います。
歯のクリーニングは、保険適用のものと自費診療のものとに分かれ、スケーリング(歯石とり)やPMTC(着色落とし)などいくつか種類があります。
保険適用のクリーニング
各種検査を行い、虫歯や歯周病などの病名がつき、治療目的のために行う場合は保険適用の範囲内となります。
保険適用のクリーニングでは、プラークや歯石を除去するスケーリングやSRPを行います。
スケーリング(歯石とり)
主に歯ぐきの上に付いている歯石や汚れを取るクリーニングのことをいいます。
超音波スケーラーという器具を用い、超音波の力で振動させ歯石とりをします。治療回数は1~2回で済むことがほとんどです。
SRP (スケーリング・ルートプレーニング)
スケーリング後の検査で、更なる治療が必要と判断した場合に行います。
スケーリングでは取りきれない歯ぐきの奥に潜り込んでいる歯石(縁下歯石)や汚れを取るクリーニングのことをいいます。
痛みを感じる場合には麻酔をして行います。
1度の処置で4~6本程度が限度のため、治療を行う本数に応じて回数も変わってきます。
自費診療のクリーニング
予防や審美目的で病名がつかない場合は保険がきかない自費診療となります。
自費診療のクリーニングでは、歯の表面についた着色汚れや黄ばみを除去するPMTCやエアフローを行います。
PMTC (着色落とし)
専用の器具とペーストを使い、普段の歯磨きでは落とせない着色汚れ・ヤニなどを除去します。
歯本来の白さを取り戻すことができ、歯がツルツルになることで虫歯や歯周病の予防にも効果が高いです。
「PMTC」を詳しく見る
エアフロー
パウダーと水を同時に吹き付け、歯の汚れを強力なジェット噴射で落とします。
PMTCでも落とせないしつこい汚れやブラシが届きづらい箇所の着色を除去します。
妊娠中や呼吸器疾患などお身体の状態によっては施術できない場合があります。
詳しくは、担当医にご相談ください。
歯のクリーニング 料金・回数・時間
| 種類 | 料金 | 回数 | 処置時間 |
|---|---|---|---|
| 保険適用の クリーニング |
約3,000〜4,000円 (3割負担) |
1〜6回 ※歯周病の状態によって変わります |
30分〜/回 ※歯周病の状態によって変わります |
| 自費診療の クリーニング |
7,700〜11,000円 (税込) |
1〜2回 | 30分〜/回 ※着色の度合いによって変わります |
歯のクリーニングは必要?
虫歯や歯周病の主な原因は、プラークという細菌の塊や歯石(固まった汚れ)であり、普段の歯ブラシではどうしても落としきることができません。
そのため、歯科医院で専用の機器を使ったクリーニングが必要となります。
定期的に歯のクリーニングをし、お口の中をいい状態に保つことで、虫歯や歯周病の予防にもつながります。
「歯石について」を詳しく見る
歯のクリーニング 頻度
約3か月に一度のクリーニングを推奨しています。
上手に磨けていてお口の中の状態が良ければ、約6ヶ月に一度。
虫歯や歯周病のリスクが高い方・着色がつきやすい方は約1-2ヶ月に一度。
患者様のお口の中の状況によって、クリーニングの頻度も変わってきます。
歯のクリーニング 痛み
健康な歯ぐきの方でクリーニングで痛みを感じることはほぼないです。
歯ぐきに腫れや出血などの炎症が生じ、歯ぐきが弱体化している場合、クリーニングの刺激により痛みが出ることがあります。
また、クリーニング後は外部刺激に敏感となり、冷たいものや熱いもので知覚過敏を感じることがあります。
一時的な症状がほとんどで自然に気にならなくなります。
症状が強くなったり長引いたりする場合はすぐにご相談ください。
「知覚過敏」を詳しく見る
歯のクリーニング後 食事
歯のクリーニング後は、ペリクルという歯面を保護する膜が一時的になくなるため、着色や汚れが付着しやすい状態になります。
クリーニング後、24時間はできるだけ色素の濃い飲食物(カレー、コーヒー、ワインなど)を控えましょう。
また、クリーニング直後は外部の刺激にも敏感になっています。
おおよそ1時間ほどは熱いものや冷たいものは避けたほうが良いでしょう。
歯のクリーニング 口臭
口臭は、舌苔と呼ばれる舌の表面の汚れや歯周病が主な原因となります。
クリーニングにより、舌苔や歯周病の原因のプラークを除去することができるので、クリーニングを定期的に受けることは口臭予防にもつながります。
「口臭」を詳しく見る
歯のクリーニング 白くなる?
〜ホワイトニングとの違い〜
歯のクリーニングにより、汚れや着色を取ることで、歯本来の白さを取り戻すことができます。
歯のホワイトニングは、漂白剤により歯本来の色よりもさらに白くすることができます。
歯をより白くしたい方は、歯のクリーニングで本来の白さに戻した後にホワイトニングをしていくのがオススメです。
「ホワイトニング」を詳しく見る
痛みと音に配慮した
超音波スケーラー
スプラソン P-MAX2
超音波スケーラーを使った歯のクリーニングではキーンという嫌な音や振動が患者様の負担になってしまうことが多くありました。
当院では、音も小さく優しいタッチでしっかりと歯石や汚れを取ることができる超音波スケーラー(スプラソン P-MAX2)を導入しております。
優しいタッチで余計な圧が加わらない、モードが多彩で細かやかなパワー設定ができるため、処置中のストレスを可能な限り減らすことができます。
また、知覚過敏の症状が強い方には機器のタンクにぬるま湯を入れて使用することで、クリーニング中のしみる痛みを和らげる効果も期待できます。
「医院紹介」を詳しく見る
歯のクリーニングの症例
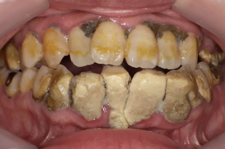
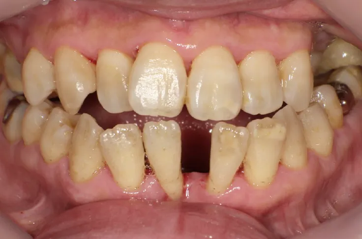
case1
治療前の写真
治療後の写真
| 主訴 | クリーニングしたい |
|---|---|
| 治療期間 | 通院1回 |
| 治療費 | スケーリング 1,000~1,500円程度(税込) 保険診療3割負担 PMTC+エアフロー 11,000円(税込) |
| 治療内容 | スケーリング PMTC+エアフロー |
| 治療のリスク | ・歯石除去後一時的に歯がしみることがある。 ・歯みがきすると出血することがある。 ・治療の結果歯ぐきが引き締まることで歯が伸びたように感じることがある。 ・歯自体の色を白くすることはできない。 ・しばらくすると再び着色することがある。 |
case2
治療前の写真
治療後の写真
| 主訴 | クリーニングしたい |
|---|---|
| 治療期間 | 通院1回 |
| 治療費 | 7,700円(税込) |
| 治療内容 | 着色がみられたので着色落としのクリーニング(PMTC)を行った。 虫歯や歯周病予防にも効果的とされている。 |
| 治療のリスク | ・歯の色自体を白くすることはできない。歯本来の色より白くしたい場合には、 ホワイトニングが適用となります。 ・生活習慣によって、再度着色することがある。 ・知覚過敏が強い方は施術中や施術後に一時的にしみることがある。 |
case3
治療前の写真
治療後の写真
| 主訴 | 歯の着色を落としたい |
|---|---|
| 治療期間 | 通院1回 |
| 治療費 | 7,700円(税込) |
| 治療内容 | PMTC |
| 治療のリスク | ・タバコやコーヒーやワインなどの色のついた嗜好品によって、再度着色することがある。 ・強い着色の場合はPMTCのみでは落とすことができないため、エアフローを併用する。 ・詰め物や被せ物についた着色はPMTCでは落とすことはできない。 ・PMTCで歯本来の白さを取り戻すことはできるが、歯そのものを白くすることはできない。 |
case4
治療前の写真
治療後の写真
| 主訴 | 歯のクリーニングしたい |
|---|---|
| 治療期間 | 通院1回 |
| 治療費 | 2,000円程度(税込) 保険診療3割負担 |
| 治療内容 | 歯周基本治療(歯周検査、歯石除去) |
| 治療のリスク | ・クリーニング後、一時的に歯がしみることがある。 ・歯ぐきが引き締まる事で歯が長く見える事がある。 ・時間が経つと、再び歯石が付いてくることがある。 |
case5
治療前の写真

治療後の写真

| 主訴 | 歯石を取りたい、 歯周病の治療をしたい |
|---|---|
| 治療期間 | 通院8回(約3か月) |
| 治療費 | 約15,000円(税込)保険診療3割負担 |
| 治療内容 | 歯周基本治療 歯周病検査と歯石除去(歯肉縁上、縁下)を行う歯周基本治療を行いました。 |
| 治療のリスク | 歯石除去後、知覚過敏症状がでることがある。 歯茎が引き締まることで歯茎が下がったように感じることがある。 |
case6
治療前の写真

治療後の写真

| 主訴 | クリーニングしてほしい |
|---|---|
| 治療期間 | 通院1回 |
| 治療費 | 1回 約8,000円(税込) |
| 治療内容 | SC(歯石除去) PMTC(着色除去) |
| 治療のリスク | ・歯自体の色を白くすることはできない。 ・しばらくすると再び歯石がついてきたり着色することがある。 ・クリーニング後に一時的にしみることがある。 ・定期的にクリーニングを受けて綺麗な状態を維持することで、むし歯や歯周病の予防効果が期待できる。 |